CASOS DE ESTUDIO PARA RADIOLOGOS
HEMANGIOSARCOMA
HEMANGIOSARCOMA
MSc. Luis Roberto Orozco (1)
Dr. Eric Eduardo Maldonado Muñoz(2)
PREFACIO
El hemangiosarcoma representa uno de los tumores vasculares más agresivos y desafiantes, tanto en medicina humana como veterinaria. Originado en las células endoteliales, este neoplasma maligno se caracteriza por su rápida proliferación, su alto potencial metastásico y, frecuentemente, por un curso clínico silencioso hasta fases avanzadas. A pesar de los avances significativos en tecnologías de imagen y terapias oncológicas, el hemangiosarcoma continúa presentando dilemas diagnósticos y pronósticos, con desenlaces generalmente desfavorables.
Este trabajo tiene como objetivo ofrecer una visión integral del hemangiosarcoma, desde sus orígenes celulares y características histopatológicas, hasta las estrategias actuales de diagnóstico y opciones terapéuticas. Se hace énfasis en la importancia de la detección temprana, la integración de modalidades de imagen avanzadas y el papel fundamental de la colaboración interdisciplinaria para mejorar la atención al paciente. Al profundizar en la comprensión de esta compleja patología, aspiramos a contribuir al desarrollo de protocolos de manejo más eficaces y, en última instancia, a mejorar la supervivencia de los pacientes afectados.
Esperamos que este material sea una referencia valiosa para estudiantes, clínicos, investigadores y todos aquellos comprometidos con el avance del conocimiento en el campo de la imagen oncológica y la patología vascular.
PREFACE
Hemangiosarcoma represents one of the most aggressive and challenging vascular tumors encountered in both human and veterinary medicine. Arising from endothelial cells, this malignant neoplasm is characterized by its rapid proliferation, high metastatic potential, and often silent clinical course until advanced stages. Despite significant advances in imaging technologies and oncological therapeutics, hemangiosarcoma continues to pose diagnostic and prognostic dilemmas, often resulting in poor outcomes.
This work aims to provide a comprehensive overview of hemangiosarcoma, from its cellular origins and histopathological features to current diagnostic strategies and treatment options. Emphasis is placed on the importance of early detection, the integration of multimodal imaging, and the critical role of interdisciplinary collaboration in improving patient care. By deepening our understanding of this complex pathology, we hope to contribute to more effective management protocols and, ultimately, better survival rates for those affected.
It is our hope that this material serves as a valuable reference for students, clinicians, researchers, and all those committed to advancing knowledge in the field of oncologic imaging and vascular pathology.
PALABRAS CLAVE
Hemangiosarcoma, Neoplasia vascular maligna, Células endoteliales, Metástasis, Diagnóstico por imágenes
KEYWORDS
Hemangiosarcoma, Malignant vascular neoplasm, Endothelial cells, Metastasis, Diagnostic imaging
HISTORIA DEL PACIENTE
Paciente de 33 años de edad, originario y residente de Quetzaltenango, indica que inicio con dolor en miembro inferior izquierdo, el cual fue aumentando con el paso del tiempo, refiere molestias a nivel del tercio distal del muslo izquierdo y a nivel de la pierna en la parte posterior de la misma, se observa edema a nivel de la pierna, no hay presencia de fiebre.
TECNICA EMPLEADA
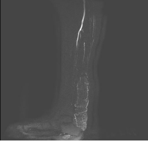
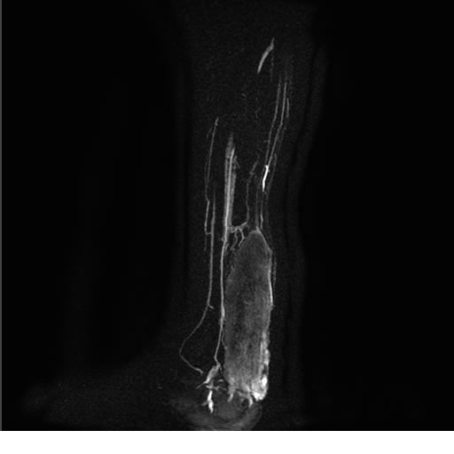
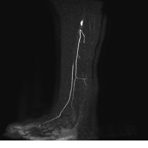
Se realiza estudio de MRI de pierna izquierda, utilizando secuencias Spin Echo y GRE en diferentes planos, se realiza angio MRI en fase arterial y venosa de pierna izquierda
HALLAZGOS IMAGENOLOGICOS
El estudio demuestra masa a nivel de los músculos gemelos, más evidente en secuencia con pulso de saturación de grasa, en el estudio de angio resonancia de pierna la fase arterial no muestra ninguna anormalidad, en la fase venosa se observa acumulo del medio de contraste a este nivel.
Se concluye que se observa una masa de tejido muscular sumamente vascularizada compatible con un hemangioarcoma.


HEMANGIOSARCOMA
Origen celular
El hemangiosarcoma se origina principalmente de células endoteliales transformadas. Sin embargo, existen evidencias que sugieren un posible origen en progenitores derivados de médula ósea o en células madre hematopoyéticas multipotentes que adoptan fenotipos endoteliales (marcadores CD31, CD34, CD117) (PubMed experts.nebraska.edu SciELO México)
.
Proliferación vascular aberrante
Histológicamente, el tumor forma canales vasculares irregulares llenos de sangre, con células endoteliales malformadas que invaden y erosionan tejidos, provocando hemorragias y necrosis (ScienceDirect)
Remodelación de la matriz extracelular (ECM)
El microambiente tumoral muestra intensa remodelación de la ECM: degradación con MMPs, reordenamiento de colágenos y lamininas, lo que facilita invasión tumoral y formación de nuevos canales sanguíneos
Angiogénesis y mimetismo vascular
Bajo condiciones de hipoxia, el tumor activa HIF‑1α induciendo VEGF, VEGFRs, angiopoyetinas y VE‑cadherina, estimulando la formación de vasos anómalos.
Además, posee capacidad de vasculogenic mimicry, donde células tumorales adquieren rasgos endoteliales para crear conductos vasculares que escapan a terapias anti-angiogénicas
Evasión inmunitaria
El tumor promueve un estado de anergia endotelial, reduciendo la expresión de moléculas de adhesión (ICAM-1, VCAM-1), dificultando el ingreso de células inmunitarias. Esto bloquea la respuesta inmune local, permitiendo crecimiento y metástasis (experts.nebraska.edu)
Microambiente tumoral y macrófagos
Los macrófagos asociados al tumor (TAMs) suelen adquirir el fenotipo M2, favoreciendo la angiogénesis, remodelación tisular y metástasis. También expresan moléculas como PD‑L1, contribuyendo a la supresión inmunológica (Experts@Minnesota)
Metástasis y hemorragia
La degradación de la ECM, los canales vasculares defectuosos y la perforación de vasos sanguíneos provocan hemorragias internas frecuentes. Las células tumorales acceden a la circulación y producen metástasis, especialmente en pulmón, hígado y bazo. (Nature bjvp.org.br)
- 1. Pimentel PA B et al. Molecular Profile of Canine Hemangiosarcoma and Potential Novel Therapeutic Targets. Vet Sci. 2023;10(6):387
- 2. Delgado Bellido D et al. Vasculogenic mimicry signaling revisited. Mol Cancer. 2017. (citado para VM)
- 3. Evidencia de anergia endotelial y evasión inmune, Angiogenesis. 2023.
- 4. Nature. Hemangiosarcoma cells induce M2 polarization and PD L1. 2022.
-
(1) Magister en Dirección y producción de e-Learning. Licenciado en Pedagogía, coordinador página web idesxela.com, Diplomado Resonancia Magnética, Universidad Pontificia Católica de Chile, Docente Universitario.
(2) Magister en Imágenes Diagnosticas, Magister en educación superior, Coordinador rotación estudiantes de medicina Facultad de Medicina Universidad Mesoamericana, sede Quetzaltenango, área de bio imágenes. Coordinador residencia de radiología Hospital Regional de Occidente, Universidad de San Carlos de Guatemala, Docente Universitario.









