CASOS DE ESTUDIO PARA RADIOLOGOS
CISTOADENOCARCINOMA
CYSTADENOCARCINOMA
MSc. Luis Roberto Orozco (1)
Dr. Eric Eduardo Maldonado Muñoz(2)
PREFACIO
El estudio del cistoadenocarcinoma representa un desafío y una necesidad en el ámbito de la medicina moderna, particularmente en las disciplinas de la oncología, la patología y la radiología. Este tumor maligno, derivado de estructuras glandulares con componente quístico, puede presentarse en diversos órganos, como los ovarios, el páncreas y el hígado, afectando de manera significativa la salud y calidad de vida del paciente.
El presente trabajo surge del interés por profundizar en el conocimiento de esta patología, que, si bien no es la más frecuente, sí representa un importante reto diagnóstico y terapéutico. Comprender su comportamiento clínico, sus características imagenológicas y los métodos adecuados para su detección precoz es fundamental para mejorar el pronóstico y el abordaje integral del paciente.
En este contexto, el cistoadenocarcinoma se convierte no solo en objeto de estudio, sino también en punto de encuentro entre la investigación científica y la práctica médica. La necesidad de un diagnóstico certero y de un tratamiento oportuno convierte a este tema en una prioridad para los profesionales de la salud comprometidos con la excelencia y la actualización constante.
Este documento ha sido elaborado con el objetivo de aportar información clara, actualizada y basada en evidencia, dirigida tanto a estudiantes como a profesionales de la salud, con la esperanza de contribuir a una mejor comprensión y manejo de esta compleja enfermedad.
PREFACE
The study of cystadenocarcinoma represents both a challenge and a necessity in modern medicine, particularly in the fields of oncology, pathology, and radiology. This malignant tumor, which arises from glandular structures with a cystic component, can occur in various organs such as the ovaries, pancreas, and liver, significantly impacting patient health and quality of life.
This work stems from the desire to deepen the understanding of this pathology, which, although not the most common, presents a considerable diagnostic and therapeutic challenge. Understanding its clinical behavior, imaging characteristics, and appropriate methods for early detection is essential to improving prognosis and ensuring a comprehensive approach to patient care.
In this context, cystadenocarcinoma becomes not only a subject of study but also a point of convergence between scientific research and medical practice. The need for accurate diagnosis and timely treatment makes this topic a priority for health professionals committed to excellence and continuous learning.
This document has been prepared with the goal of providing clear, updated, and evidence-based information, aimed at both students and healthcare professionals, with the hope of contributing to a better understanding and management of this complex disease.
PALABRAS CLAVE
Neoplasia maligna; Tumor quístico; Diagnóstico por imagen; Adenocarcinoma epitelial
KEYWORDS
Malignant neoplasm; Cystic tumor; Imaging diagnosis; Epithelial adenocarcinoma
HISTORIA DEL PACIENTE
Paciente refiere dos embarazos con parto normal, dolor a nivel de la pelvis, molestia de sangrado vaginal, no presenta cuadros de fiebre, irregularidades en su ciclo menstrual, no refiere trauma.
TECNICA EMPLEADA
Se realizan adquisiciones en diferentes planos, con secuencias Spin echo y GRE, ponderadas a T1 y a T2, se utilizan pulsos de saturación de grasa y se administra medio de contraste a base de gadolinio.
HALLAZGOS IMAGENOLOGICOS
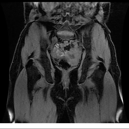
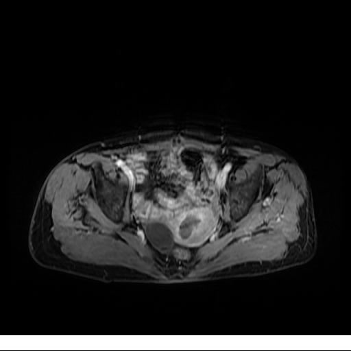
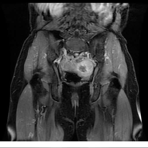
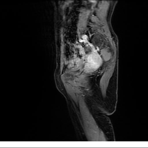
El útero está en retroversión, retroflexión, y en posición central, se observa liquido en la cavidad endometrial, debido a la presencia de un Ca endometrial; en el anexo derecho se observa una masa quística que mide 3.8 x 2.2 cm de diámetro, corresponde a un quiste bilobulado, posee pared gruesa con componente solido puede tratarse de un Cistoadenocarcinoma, el cual realza con el medio de contraste de forma importante, entra dentro de una clasificación O-Rad tipo IV compatible con un Cistoadenocarcinoma

O-RAD tipo IV, Cistoadenocarcinoma
El cistoadenocarcinoma es un tumor maligno originado en células epiteliales glandulares que forman estructuras quísticas. Su fisiopatología implica varios procesos clave:
Transformación maligna del epitelio glandular
Las células epiteliales que recubren quistes glandulares (por ejemplo, en ovario o páncreas) experimentan mutaciones genéticas -en genes como KRAS, TP53 o BRCA1/2- que alteran ciclos celulares, reducen la apoptosis y promueven la proliferación descontrolada
Progresión de benigno a maligno
La evolución desde un cistoadenoma benigno hasta su variante maligna suele seguir un patrón de pasos: lesión benigna → neoplasia borderline → carcinoma invasivo. Durante este tránsito aparecen atipia nuclear, arquitectura glandular compleja y actividad mitótica elevada.
Formación de estructuras quísticas con contenido necrótico o mucinoso
Los tumores pueden presentar múltiples quistes multiloculados, con mucina o restos necróticos. Las variantes serosas contienen líquido claro; las mucinosas, abundante mucina.
Crecimiento invasivo y potencial metastásico
A nivel microscópico, el tumor exhibe infiltración estromal con reacción desmoplásica, cribriformación y proliferación papilar. Además, eventos de transición epitelio‑mesénquima (EMT) permiten invasión local y diseminación a distancia por células individuales o agrupadas
Diferenciación según tipo y órgano
Seroso (ovárico): crecimiento tubulopapilar con células columnar y pleomórficas
Mucinoso (ovárico/páncreas): epitelio columnar con mucina, forma papilar/glandular y necrosis frecuente.
Biliar/hepático: puede contener estroma "similar al ovárico" o carecer de él, lo que define dos comportamientos clínicos distintos
En conjunto, estos mecanismos explican cómo el tumor se desarrolla, invade tejidos circundantes y, potencialmente, metastatiza, dependiendo de su ubicación, grado de diferenciación y perfil molecular.
- 1. Tumores originados en epitelio glandular formando quistes y su progresión maligna
- 2. PAPILLARY mucinous features con necrosis y mutaciones KRAS, especialmente en ovario y páncreas
- 3. Descripción de progresión desde cistoadenoma a carcinoma y patrones arquitectónicos
- 4. Invasión estromal y mecanismos de EMT relacionados con metástasis.
- 5. Subtipos biliar con o sin estroma semejante al ovárico y su impacto pronóstico
-
(1) Magister en Dirección y producción de e-Learning. Licenciado en Pedagogía, coordinador página web idesxela.com, Diplomado Resonancia Magnética, Universidad Pontificia Católica de Chile, Docente Universitario.
(2) Magister en Imágenes Diagnosticas, Magister en educación superior, Coordinador rotación estudiantes de medicina Facultad de Medicina Universidad Mesoamericana, sede Quetzaltenango, área de bio imágenes. Coordinador residencia de radiología Hospital Regional de Occidente, Universidad de San Carlos de Guatemala, Docente Universitario.







