CASOS DE ESTUDIO PARA RADIOLOGOS
SARCOMA DE EWING
EWING SARCOMA
MSc. Luis Roberto Orozco (1)
Dr. Eric Eduardo Maldonado Muñoz(2)
PREFACIO
El Sarcoma de Ewing es una de las neoplasias óseas malignas más agresivas que afectan principalmente a niños, adolescentes y adultos jóvenes. Su impacto clínico, diagnóstico complejo y manejo multidisciplinario lo convierten en un desafío significativo para los profesionales de la salud. A pesar de su rareza, representa la segunda forma más común de tumor óseo maligno en la infancia, después del osteosarcoma.
Este documento nace con el propósito de ofrecer una visión integral sobre el Sarcoma de Ewing, abordando su origen, características clínicas, hallazgos imagenológicos, diagnóstico diferencial y opciones terapéuticas actuales. En el contexto del diagnóstico por imágenes, el papel del técnico, tecnólogo o licenciado en imágenes diagnósticas es crucial para la detección temprana y el seguimiento adecuado de esta patología. La comprensión profunda de sus manifestaciones radiológicas contribuye de manera directa a la calidad del abordaje clínico y al pronóstico del paciente.
A través de este material se busca no solo informar, sino también sensibilizar sobre la importancia del conocimiento anatómico, técnico y humano que demanda el estudio de tumores óseos complejos como el Sarcoma de Ewing. Que este texto sirva como guía de aprendizaje, reflexión y compromiso con la excelencia en el campo de las imágenes diagnósticas y el cuidado del paciente.
PREFACE
Ewing Sarcoma is one of the most aggressive malignant bone neoplasms, primarily affecting children, adolescents, and young adults. Its clinical impact, complex diagnosis, and multidisciplinary management make it a significant challenge for healthcare professionals. Although rare, it is the second most common malignant bone tumor in childhood, following osteosarcoma.
This document was created with the purpose of offering a comprehensive overview of Ewing Sarcoma, covering its origin, clinical characteristics, imaging findings, differential diagnosis, and current therapeutic options. In the context of diagnostic imaging, the role of the technician, technologist, or licensed imaging professional is crucial for early detection and appropriate follow-up of this pathology. A deep understanding of its radiologic manifestations directly contributes to the quality of clinical management and patient prognosis.
Through this material, we aim not only to inform but also to raise awareness of the importance of anatomical, technical, and human knowledge required when studying complex bone tumors such as Ewing Sarcoma. May this text serve as a guide for learning, reflection, and a commitment to excellence in the field of diagnostic imaging and patient care.
PALABRAS CLAVE
Tumor óseo maligno; Adolescencia y juventud; Diagnóstico por imágenes; Tratamiento multidisciplinario
KEYWORDS
Malignant bone tumor; Adolescents and young adults; Diagnostic imaging; Multidisciplinary treatment
HISTORIA DEL PACIENTE
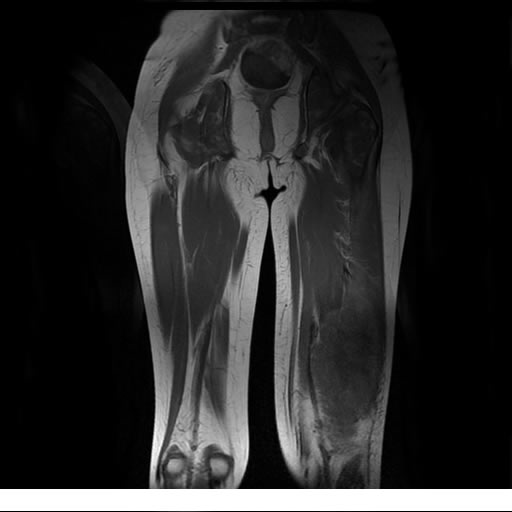
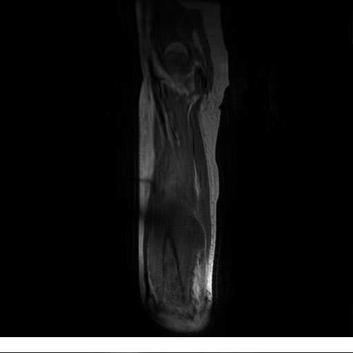
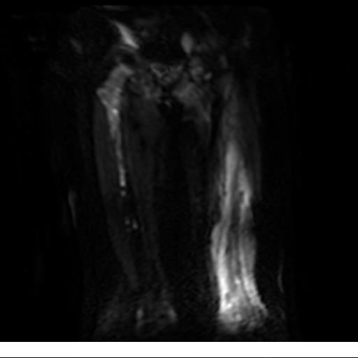
Paciente de 13 años de edad, refiere dolor en miembro inferior izquierdo, aumento del volumen del mismo desde hace mas o menos 10 meses, no hay fiebre, presenta limitación al movimiento
TECNICA EMPLEADA
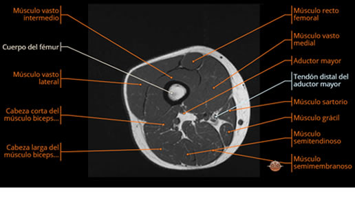
Se realiza estudio de MRI de muslo izquierdo en diferentes planos, con secuencias de Spin Echo, GRE; ponderadas a T1 y a T2, se utilizan pulsos de saturación de grasa y se administra medio de contraste IV a base de Gadolinio en base al peso del paciente.
HALLAZGOS IMAGENOLOGICOS
La diáfisis femoral izquierda muestra reacción perióstica importante, se extiende desde el cuello del fémur, invade trocánteres, diáfisis femoral, medial y distal, es compatible con un proceso infeccioso óseo, el complejo muscular del muslo se ve edematizado.



Osteomielitis
Sarcoma de Ewing
El Sarcoma de Ewing es una neoplasia maligna originada en las células mesenquimatosas primitivas, caracterizada por una translocación cromosómica específica, la más común de las cuales es la que da lugar a la fusión de los genes EWSR1-FLI1. Esta alteración genética conduce a una proliferación celular descontrolada con alta actividad mitótica y pobre diferenciación, resultando en una masa tumoral altamente agresiva, con capacidad de infiltración local y metástasis hematógena temprana, principalmente hacia pulmones, médula ósea y otros huesos.
Desde el punto de vista patológico, el tumor suele localizarse en la diáfisis de huesos largos (como fémur, tibia o húmero), pero también puede afectar costillas, pelvis y columna vertebral. A medida que la lesión progresa, se produce destrucción ósea, formación de tejido blando tumoral y reacción perióstica característica.
Hallazgos en Tomografía Computarizada (TC)
La tomografía permite una evaluación precisa de la destrucción cortical ósea y de la extensión del componente de partes blandas. Los hallazgos comunes incluyen:
Lesión osteolítica permeativa, con destrucción agresiva del hueso.
Reacción perióstica en capas o “en cebolla”, producto de la formación ósea reactiva en múltiples capas.
Extensión hacia tejidos blandos circundantes, visualizada como una masa heterogénea que puede mostrar calcificaciones internas.
Disrupción de la cortical y expansión de la médula ósea.
Hallazgos en Resonancia Magnética (RM)
La resonancia es la modalidad de elección para valorar la extensión intramedular y la infiltración en tejidos blandos, brindando una imagen más detallada del compromiso tumoral. Los hallazgos característicos incluyen:
Lesión de señal heterogénea en secuencias T1 (hipointensa) y T2/STIR (hiperintensa), que refleja necrosis, hemorragia y contenido celular diverso.
Realce intenso y heterogéneo tras la administración de contraste (gadolino), lo que indica vascularización tumoral.
Compromiso de la médula ósea adyacente y de estructuras vecinas, como músculos y neurovasculatura.
Posible presencia de edema óseo y necrosis central.
La combinación de hallazgos clínicos, radiológicos e histopatológicos es fundamental para el diagnóstico definitivo del Sarcoma de Ewing. En este contexto, la participación activa del profesional en imágenes diagnósticas resulta esencial para una caracterización precisa de la lesión, que guíe el tratamiento quirúrgico, quimioterapéutico y radioterapéutico.
-
1. M. Gitto et al., “CT and MRI radiomics of bone and soft tissue sarcomas: an updated systematic review of reproducibility and validation strategies,” Insights into Imaging, vol. 15, art. 54, feb. 2024.
Revisa estudios realizados hasta marzo de 2023, con un enfoque en TC y RM aplicados a sarcomas, incluyendo Ewing. -
2. M. Gitto et al., “3D vs. 2D MRI radiomics in skeletal Ewing sarcoma,” Frontiers in Oncology, 2022.
Demuestra que la RM 3D tiene mayor reproducibilidad y precisión para predecir la respuesta a quimioterapia, relevante para fisiopatología y seguimiento. -
3. Z. Chen et al., “Extraskeletal Ewing’s sarcoma: outcomes and CT features of endoceliac lesions,” Translational Cancer Research, 2021.
Describe hallazgos en TC de Ewing extraóseo (EES) en órganos endocelíacos: contorno lobulado, realce heterogéneo, necrosis y extensión orgánica. -
4. C. Spandidos et al., “Extraskeletal Ewing sarcoma: Diagnosis, management and imaging,” Oncology Letters, 2021.
Resume características en CT y RM: señal intermedia en T1 e hiperintensidad en T2, con realce variable tras contraste — útil en correlación fisiopatológica. -
5. L. Medicine (LWW), “Ewing sarcoma: what trends in recent works? A holistic analysis,” Medicine, 2022.
Revisión bibliométrica que incluye translocaciones EWSR1-FLI1, genética tumoral e implicaciones en diagnóstico y nuevas estrategias terapéuticas
-
(1) Magister en Dirección y producción de e-Learning. Licenciado en Pedagogía, coordinador página web idesxela.com, Diplomado Resonancia Magnética, Universidad Pontificia Católica de Chile, Docente Universitario.
(2) Magister en Imágenes Diagnosticas, Magister en educación superior, Coordinador rotación estudiantes de medicina Facultad de Medicina Universidad Mesoamericana, sede Quetzaltenango, área de bio imágenes. Coordinador residencia de radiología Hospital Regional de Occidente, Universidad de San Carlos de Guatemala, Docente Universitario.







