CASOS DE ESTUDIO PARA RADIOLOGOS
MIORSITIS AGUDA
ACUTE MYOSITIS
MSc. Luis Roberto Orozco (1)
Msc. Dr. Eric Eduardo Maldonado Muñoz(2)
PREFACIO
La miositis aguda constituye un espectro de procesos inflamatorios del músculo esquelético que se manifiestan con dolor, debilidad de instalación rápida y elevación de enzimas musculares. Su etiología es diversa -viral, bacteriana, autoinmune, paraneoplásica, inducida por fármacos o por esfuerzo- y su curso clínico exige decisiones tempranas para evitar complicaciones como rabdomiólisis, síndrome compartimental o compromiso respiratorio. En este contexto, la correlación clínico-laboratorial debe integrarse con la imagen de forma estratégica y oportuna.
La ecografía ofrece una valoración inicial accesible, dinámica y repetible, útil para detectar aumento de volumen, alteraciones de ecogenicidad, hiperemia al Doppler y colecciones. La resonancia magnética, por su parte, es el estándar para mapear la extensión, diferenciar edema inflamatorio de necrosis o absceso, y guiar el sitio de biopsia; las secuencias STIR/PD-FS y la difusión (con ADC) aportan sensibilidad para edema y restricción, mientras que el realce poscontraste orienta a actividad y complicaciones. La tomografía tiene un papel limitado, reservándose para evaluar gas en tejidos blandos o mineralizaciones, y los rayos X son útiles para descartar cuerpos extraños o calcificaciones tardías.
Este documento propone un abordaje práctico: reconocer presentaciones clínicas clave, seleccionar el estudio de imagen correcto según el escenario, e interpretar hallazgos con un diferencial organizado (infeccioso vs. autoinmune vs. traumático/por esfuerzo vs. tóxico). Nuestro objetivo es brindar herramientas para reducir tiempos diagnósticos, orientar terapias dirigidas y estandarizar informes, priorizando siempre la seguridad del paciente y la coordinación multidisciplinaria.
PREFACE
Acute myositis encompasses a spectrum of inflammatory disorders of skeletal muscle characterized by rapidly evolving pain, weakness, and elevated muscle enzymes. Etiologies include viral and bacterial infections, autoimmune diseases, paraneoplastic processes, drug-induced injury, and exertional causes. Because the clinical course may be swift and complications—rhabdomyolysis, compartment syndrome, respiratory involvement—can be serious, early, well-structured decision-making is essential, integrating clinical and laboratory data with imaging.
Ultrasound provides an accessible, real-time first look to detect enlargement, echotexture changes, hyperemia on Doppler, and fluid collections. Magnetic resonance imaging is the reference technique to map disease extent, distinguish inflammatory edema from necrosis or abscess, and guide biopsy targeting; STIR/PD-FS and diffusion (with ADC) increase sensitivity to edema and restriction, while post-contrast enhancement helps assess activity and complications. Computed tomography has a focused role in detecting soft-tissue gas or mineralization, and plain radiography remains useful for foreign bodies or late calcifications.
This chapter adopts a practical workflow: recognize key clinical presentations, choose the right imaging test for the scenario, and interpret findings within a structured differential (infectious vs. autoimmune vs. exertional/traumatic vs. toxic). Our aim is to shorten time-to-diagnosis, direct targeted therapy, and standardize reports—prioritizing patient safety and effective multidisciplinary coordination.
PALABRAS CLAVE
Miositis aguda, Edema muscular, Rabdomiólisis, Resonancia magnética (STIR/ADC), Miositis infecciosa
KEYWORDS
Acute myositis, Muscle edema, Rhabdomyolysis, Magnetic resonance imaging (STIR/ADC), Infectious myositis
HISTORIA DEL PACIENTE
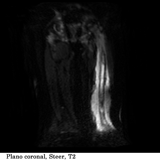
Paciente femenina, de 18 años de edad, con masa visible y palpable a nivel del tercio medio e inferior del fémur izquierdo, con un tiempo de evolución de 1 año, refiere dolor y limitación al movimiento.
TECNICA EMPLEADA
Se coloco al paciente en decúbito supino, utilizando una bobina fase array, haciendo adquisiciones en los planos axial, sagital y coronal, secuencias, spin echo, eco de gradiente e hibridas, potenciadas a T1, T2 y DP, secuencias Steer, y se obtuvieron imágenes con saturación de grasa.
HALLAZGOS IMAGENOLOGICOS
1. Edema de tejidos blandos que infiltra los músculos del muslo en su tercio medio y distal
2. Fractura patológica de tercio proximal de la diáfisis femoral izquierda
3. Engrosamiento del periostio del tercio medio y distal de la diáfisis femoral izquierda



ANATOMIA
El fémur es el hueso largo más grande del cuerpo y se divide en epífisis proximal (cabeza femoral que articula con el acetábulo, cuello, trocánter mayor y menor), diáfisis (con la línea áspera en su cara posterior) y epífisis distal (cóndilos medial y lateral, escotadura intercondílea y superficie patelar). Sirve de anclaje a numerosos músculos: en la porción proximal se insertan glúteo medio y menor (trocánter mayor), iliopsoas (trocánter menor) y cuadrado femoral/rotadores cortos (cresta intertrocantérica); en la diáfisis, la línea áspera recibe a los aductores (largo, corto y mayor), parte del bíceps femoral (cabeza corta) y origina fibras de vasto medial y lateral; en la distal, alrededor de los cóndilos, se originan gastrocnemio lateral y medial y se insertan plantar y poplíteo; anteriormente, el vasto intermedio ocupa la cara anterior del cuerpo y junto con los vastos y el recto femoral (que nace en la pelvis) forma el mecanismo extensor de la rodilla. La irrigación principal procede de la femoral profunda (circunflejas medial y lateral y arterias perforantes) y la cabeza recibe vasos retinaculares que ascienden por el cuello, clave para su viabilidad.
Miositis aguda
1) Concepto y marco general
La miositis aguda es un síndrome de inflamación del músculo esquelético de instalación rápida que produce edema intersticial e intrafibrilar, disfunción de la fibra y, en casos graves, necrosis con rabdomiólisis. El eje fisiopatológico integra: disparo inmune (infeccioso o autoinmunitario), daño miocitario directo/indirecto, disfunción microvascular, y alteraciones metabólicas que culminan en pérdida de integridad sarcolémica y liberación de CK y mioglobina.
2) Vías etiopatogénicas principales
A. Infecciosa (piógena/viral/parasitarias)
• Bacteriana (p.ej., S. aureus): invasión hematógena o por contigüidad → miotoxinas y enzimas bacterianas + respuesta inflamatoria local → microtrombosis y colección purulenta (piomiositis).
o Resultado: necrosis licuefactiva focal; posible absceso.
• Viral (influenza, enterovirus, dengue, SARS-CoV-2): dos mecanismos no excluyentes: tropismo directo con miocitolisis y miopatía posinfecciosa mediada por PAMPs/TLRs y IFN.
o Resultado: edema difuso, dolor intenso, curso autolimitado o con rabdomiólisis.
• Parasitarias (Trichinella, cisticercosis): daño mecánico/inflamatorio por quistes/larvas; eosinofilia, mialgia y debilidad.
B. Autoinmunitaria / inmunomediada
• Dermatomiositis (DM, incluso formas “agudas”): microangiopatía por complemento (C5b-9) en capilares perimisiales → isquemia y atrofia perifascicular; firma de interferón tipo I.
• Polimiositis (PM) / miositis por superposición: linfocitos T CD8+ específicos que reconocen MHC-I sobre la fibra → citotoxicidad directa.
• Miositis necrosante inmunomediada (IMNM; anti-HMGCR, anti-SRP): necrosis masiva con poca inflamación; activación del complemento y disfunción de la membrana.
• Resultado común: necrosis segmentaria, regeneración incompleta y debilidad.
C. Inducida por fármacos/toxinas y metabólica
• Estatinas, antirretrovirales, alcohol, cocaína, colchicina: disfunción mitocondrial, estrés oxidativo y alteración del ciclo de Ca²⁺ → miocitolisis.
• Errores metabólicos/hipotiroidismo: déficit energético y fallo de bomba Na⁺/K⁺ → edema osmótico y fragilidad sarcolémica.
D. Por sobreesfuerzo/trauma e isquemia-reperfusión
• Demanda energética → aporte + acidosis + calentamiento local → fallo contráctil y ruptura de líneas Z.
• Reperfusión: radicales libres y calcio citosólico elevados → necrosis secundaria.
• Si el edema eleva la presión compartimental, cae la perfusión → necrosis (síndrome compartimental).
3) Cascada de daño miocitario (común final)
1. Activación inmune o tóxica → citoquinas (IL-1β, TNF-α, IFN-γ/IFN-I), complemento y óxido nítrico.
2. Disfunción endotelial y microtrombosis → hipoperfusión/hipoxia.
3. Edema intersticial e intrafibrilar (↑ permeabilidad capilar, fallo de bombas iónicas).
4. Daño sarcolémico (por poros del complemento, calpaínas, ROS) → fuga de CK/aldolasa/mioglobina.
5. Necrosis y regeneración: infiltrado macrofágico, miotubos; si el estímulo persiste → pérdida de masa funcional.
6. Rabdomiólisis sistémica: mioglobina filtra en glomérulo → nefrotoxicidad y necrosis tubular aguda si deshidratación/acidosis coexisten.
4) Correlación imagen–patología
Ecografía
• Hipertrofia difusa con hipoecogenicidad (edema) y hiperemia Doppler; en bacteriana: colección con ecos móviles y reforzamiento posterior.
• Útil para guiar drenaje/biopsia.
Resonancia magnética
• STIR/PD-FS: hiperseñal por edema; patrón fascicular/perifascicular sugiere DM; afectación heterogénea en IMNM.
• T1: baja señal en agudo; alto si hay hemorragia/necrosis grasa subaguda.
• DWI/ADC: restricción en absceso (bajo ADC con realce periférico); edema inflamatorio suele tener ADC alto-bajo intermedio (no tan restringido como pus).
• T1 FS + contraste: realce difuso (actividad) vs anular (absceso); evalúa fascia (descartar fasciitis necrotizante), extensión y neurovasculares.
• Hallazgo clave: el mapeo extenso de la enfermedad guía sitio de biopsia y monitoreo de respuesta.
TC y RX
• TC: gas en tejidos blandos, calcificaciones tempranas, complicaciones profundas.
• RX: útil para calcificaciones tardías, cuerpos extraños o diagnóstico diferencial (miositis osificante).
5) Biomarcadores y fisiología sistémica
• CK (↑ marcada en necrosis), aldolasa, AST/ALT de origen muscular, LDH.
• Mioglobina (orina oscura; riesgo renal).
• PCR/VS elevadas en infecciosa/IMNM activas.
• Autoanticuerpos: anti-MDA5/ TIF1-γ/ Mi-2 (DM), anti-SRP/ HMGCR (IMNM), anti-Jo-1 y antisintetasas (superposición).
• Gasometría/función renal si sospecha de rabdomiólisis.
6) Implicaciones clínicas del mecanismo (por qué importa la fisiopatología)
• Infecciosa: drenaje/antibiótico precoz; no inmunosupresión inicial.
• Inmunomediada: corticoides + inmunosupresores/IVIG; evitar retraso para prevenir necrosis irreversible.
• Fármaco-inducida: suspender agente; en IMNM anti-HMGCR puede requerirse inmunoterapia.
• Rabdomiólisis: hidratación agresiva, control electrolítico, evitar nefrotoxicidad.
• Compartment: descompresión quirúrgica.
7) Diferenciales críticos en agudo
• Piomiositis vs absceso subfascial (DWI restringido + realce en anillo).
• Fasciitis necrotizante (compromiso fascial extenso, gas, toxicidad sistémica).
• Miositis osificante (fase temprana imita edema; TC/RX con osificación zonal en semanas).
• Trombosis venosa profunda (edema de miembro sin hallazgos musculares primarios).
• Tumor (linfoma/leucemia/ metástasis): masa sólida, realce nodular, restricción tumoral persistente.
8) Esquema de uso docente (resumen operativo)
1. Sospecha clínica (dolor + debilidad rápida ± fiebre) → labs (CK, PCR) y US inicial.
2. Si dudas o extensión no clara → RM completa con STIR, T1, DWI/ADC y poscontraste.
3. Hallazgos + contexto → clasificar en infecciosa, inmunomediada, tóxica/metabólica o por esfuerzo.
4. Escenario infeccioso → cultivos, drenaje, antibiótico.
5. Escenario inmunomediado → biopsia dirigida por RM y tratamiento inmunológico.
6. Monitorizar CK, dolor/fuerza, y señal STIR como marcador de actividad.
- 1. Zandee van Rilland ED, et al. Myositis and Its Mimics: Guideline Updates, MRI Findings, and Diagnostic Algorithm. AJR. 2024. (Actualiza terminología y algoritmos; énfasis en RM y “mimics”).
- 2. Yoshida T, et al. Imaging Modalities in Myositis: A Clinical Review. Rheumatic Disease Clinics of North America. 2024. (Rol de RM, US y PET; utilidad práctica por escenarios).
- 3. Paik JJ, et al. The utility of muscle magnetic resonance imaging in idiopathic inflammatory myopathies. Frontiers in Immunology. 2025. (Sensibilidad de RM para edema muscular; límites de especificidad y estandarización).
- 4. Sridhar S, et al. Deciphering the pattern of muscle involvement in inflammatory myositis. Neuromuscular Disorders. 2025. (Patrones de afectación por subtipos; valor para diferenciar entidades).
- 5. Wilks AW, et al. MRI patterns of thigh muscle involvement in immune-mediated myopathies. Open Access (PMC). 2025. (Mapeo por compartimentos del muslo; utilidad para biopsia dirigida y seguimiento).
-
(1) Magister en Dirección y producción de e-Learning, Licenciado en Pedagogía, Diplomado Resonancia Magnética, Universidad Pontificia Católica de Chile, Técnico Universitario en Radiología e Imágenes Diagnósticas, coordinador página web idesxela.com, docente universitario.
(2) Magister en Imágenes Diagnosticas, Magister en educación superior, Coordinador rotación estudiantes de medicina Facultad de Medicina Universidad Mesoamericana, sede Quetzaltenango, área de bio imágenes. Coordinador residencia de radiología Hospital Regional de Occidente, Universidad de San Carlos de Guatemala, Docente Universitario.
