CASOS DE ESTUDIO PARA RADIOLOGOS
MEGACALIOSIS
MEGACALYCOSIS
MSc. Luis Roberto Orozco (1)
Msc. Dr. Eric Eduardo Maldonado Muñoz(2)
PREFACIO
La megacaliosis, también conocida como enfermedad de Puigvert, sigue siendo una anomalía congénita del sistema colector renal tan infrecuente como fascinante. Se caracteriza por una dilatación no obstructiva de los cálices, con pelvis y uréter de aspecto normal, y función renal habitualmente conservada. Sin embargo, su rareza no la vuelve irrelevante: al contrario, plantea retos diagnósticos importantes, ya que con frecuencia se confunde con hidronefrosis u otras causas de dilatación del sistema colector, con el riesgo de conducir a intervenciones innecesarias.
En los últimos años, la literatura ha dado pasos significativos para comprender mejor esta entidad. La serie contemporánea más amplia hasta la fecha, con seguimiento funcional prolongado en pacientes pediátricos, confirma que la megacaliosis pura es, en esencia, una condición benigna que puede manejarse de forma no quirúrgica mediante vigilancia clínica, ecográfica y funcional estrecha. Paralelamente, los avances en urografía por resonancia magnética han permitido describir variantes de megacaliosis donde coexiste obstrucción verdadera, abriendo el camino a una estratificación más fina entre pacientes candidatos solo a observación y aquellos que se benefician de corrección quirúrgica.
Los reportes recientes de casos en edad pediátrica, incluidos lactantes con diagnóstico postnatal de megacaliosis bilateral, recuerdan que esta anomalía puede manifestarse desde los primeros meses de vida y que su verdadera relevancia clínica radica en las complicaciones asociadas, como infecciones urinarias recurrentes o litiasis. Este panorama exige del radiólogo y del equipo multidisciplinario una mirada cuidadosa, capaz de distinguir entre una dilatación calicial congénita estable y una uropatía obstructiva progresiva.
Con esta edición de la revista IDES, dedicada a la megacaliosis, buscamos ofrecer al lector una síntesis actualizada de los aspectos imagenológicos, clínicos y de manejo de esta entidad, a la luz de la evidencia publicada en 2024 y 2025. Nuestro objetivo es que, cada imagen y cada discusión contribuyan no solo a evitar procedimientos innecesarios, sino también a optimizar el cuidado de los pacientes y a estimular nuevas líneas de investigación en el campo de la radiología urológica. La megacaliosis, aunque rara, es un recordatorio poderoso de que la precisión diagnóstica y la interpretación crítica de las imágenes pueden cambiar por completo la historia natural de una patología.
PREFACE
Megacalycosis, also known as Puigvert’s disease, remains a rare but compelling congenital anomaly of the renal collecting system. It is characterized by non-obstructive dilatation of the calyces in the setting of a normal renal pelvis and ureter, with overall preserved renal function. Its rarity does not make it less relevant; on the contrary, it poses a substantial diagnostic challenge, as it is often mistaken for hydronephrosis or other causes of collecting system dilatation, potentially leading to unnecessary interventions.
Recent literature has contributed important insights into this condition. The largest contemporary pediatric series with long-term functional follow-up confirms that “pure” megacalycosis is essentially a benign condition that can be safely managed non-operatively with close clinical, sonographic and functional monitoring. At the same time, advances in magnetic resonance urography have allowed the description of unique variants in which megacalycosis coexists with true obstruction, enabling a more refined stratification between patients suitable for conservative observation and those who benefit from surgical correction.
Recent pediatric case reports, including infants with postnatal diagnosis of bilateral megacalycosis, highlight that this anomaly may present very early in life and that its main clinical significance lies in associated complications such as recurrent urinary tract infections or stone formation. This scenario demands a careful and nuanced approach from radiologists and multidisciplinary teams, capable of distinguishing stable congenital calyceal dilatation from progressive obstructive uropathy.
With this issue of IDES devoted to megacalycosis, our aim is to provide an updated overview of the imaging features, clinical context and management strategies of this entity, in light of evidence published in 2024 and 2025. We hope that each case, image and discussion presented here will help avoid unnecessary procedures, optimize patient care and stimulate new research directions in urologic imaging. Although rare, megacalycosis is a powerful reminder that accurate diagnosis and critical image interpretation can completely change the natural history of a condition.
PALABRAS CLAVE
Megacaliosis; Anomalías congénitas renales; Urografía por resonancia magnética
KEYWORDS
Megacalycosis; Congenital renal anomalies; Magnetic resonance urography
HISTORIA DEL PACIENTE
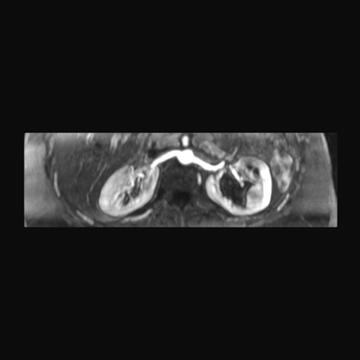
Paciente de sexo femenino, de 45 años de edad, refiere infecciones urinarias a repetición, no hay dolor, no refiere trauma, consulta por ardor al orinar, medico tratante le solicita resonancia abdominal, con énfasis en riñones, además un estudio de angiorenal.
TECNICA EMPLEADA
Se prepara a paciente para ingreso a zona 4 del área de resonancia. Se coloca a paciente en decúbito supino, se canaliza en vena antecubital, se utiliza bobina de abdomen de 16 canales, se adquieren localizadores en tres planos, luego se procede a adquirir imágenes en diferentes planos, con secuencias echo spin y eco de gradiente, potenciadas a T1 y a T2.
HALLAZGOS IMAGENOLOGICOS
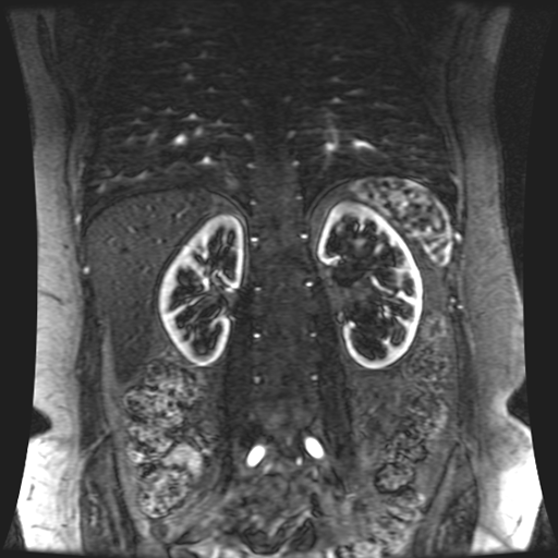
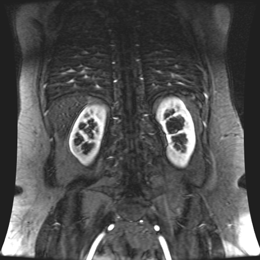
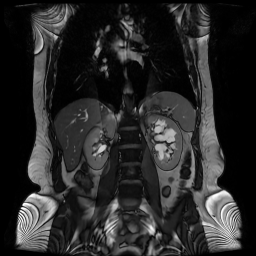
Los sistemas colectores del riñón derecho y del riñón izquierdo, muestran alteración de sus calices primarios y secundarios, mostrando dilatación, la pelvis renal y el uréter se observan de características normales lo que indica que no hay proceso obstructivo.
Se observa dilatación del sistema calicial sin proceso obstructivo compatible con una anormalidad del desarrollo de los sistemas colectores de ambos riñones, definiéndose como una “megacaliosis”


MEGACALIOSIS
La megacaliosis congénita es una anomalía del desarrollo del sistema colector renal caracterizada por una dilatación homogénea de los cálices renales, sin dilatación de la pelvis ni del uréter y sin obstrucción demostrable. Se considera una malformación del sistema colector más que una uropatía obstructiva en sentido estricto.
Desde el punto de vista anatómico e histopatológico, la mayoría de los autores coinciden en que la base de esta anomalía es un desarrollo anómalo de la médula renal: hay hipoplasia de las pirámides medulares, papilas renales malformadas o aplanadas, y acortamiento de los túbulos colectores, lo que se traduce en cálices más numerosos, ensanchados y de contornos facetados o “en trébol”.
A diferencia de la hidronefrosis, la corteza suele ser de espesor relativamente conservado y no existe un aumento sostenido de la presión intrapelviana.
Funcionalmente, la dilatación calicial es no obstructiva, pero altera de forma sutil la urodinamia intrarrenal: el flujo urinario dentro de cálices tan amplios es más lento y con mayor tendencia a la estasis urinaria, lo que favorece la formación de litiasis y la aparición de infecciones urinarias recurrentes.
Aun así, en la llamada “megacaliosis pura” la tasa de filtración glomerular y la capacidad de concentración urinaria suelen ser normales, y el deterioro funcional solo aparece cuando se instauran complicaciones crónicas (nefritis intersticial, litiasis coraliforme, pielonefritis repetida).
El carácter no progresivo de la megacaliosis aislada se ha reforzado con series contemporáneas de seguimiento prolongado en población pediátrica, que muestran función renal estable a largo plazo y evolución clínica benigna bajo manejo conservador. Esto respalda la idea de que la fisiopatología se basa en una “mala arquitectura” del sistema colector más que en un proceso dinámico obstructivo.
Los avances en urografía por resonancia magnética (MRU) han permitido describir variantes donde la morfología típica de megacaliosis coexiste con obstrucciones verdaderas o con otras malformaciones (megauréter segmentario, alteraciones del sistema pielocalicial), lo cual introduce matices en la fisiopatología: en estos casos, una parte de la dilatación es “fija” (congénita) y otra se debe a un componente obstructivo añadido que sí puede condicionar hipertensión intrarrenal y daño progresivo.
Finalmente, se han descrito asociaciones de megacaliosis con otras patologías renales (por ejemplo, nefropatía por IgA o litiasis primarias en contextos de “polymegacalicosis”), lo que sugiere que la alteración estructural del sistema colector y la estasis urinaria crónica pueden actuar como terreno predisponente sobre el cual se superponen enfermedades glomerulares o metabólicas.
- 1. Jhala, T., Luithle, T., Urla, C., Spogis, J., and Fuchs, J. (2025).Megacalycosis – Challenges in management and long-term functional follow-up. 2025. Journal of Pediatric Surgery, 60, artículo en prensa. Disponible en PubMed / ScienceDirect.
- 2. • Stone, K. M., Cho, J., Linam, L. E., and Kirsch, A. J. Unique Variants of Megacalycosis on Magnetic Resonance Urography. Urology, 194, 189–195. 2024. DOI: 10.1016/j.urology.2024.08.003 Disponible en PubMed.
- 3. • Guerrero Tinoco, G. A., and Moreno Maya, D. P. Puigvert’s disease: A rare case. 2024. (Enfermedad de Puigvert o megacaliosis) Revista Colombiana de Nefrología, 11(1). DOI: 10.22265/acnef.11.1.722 4. Guerrero Tinoco, G. A., and Moreno Maya, D. P. Magnetic Resonance Urogram in Pediatric Urology: A Comprehensive Review of Applications and Advances. International Brazilian Journal of Urology, 51(3). 2025. (Revisión de urograma por RM en urología pediátrica que integra la literatura reciente sobre anomalías del sistema colector, incluyendo trabajos sobre megacalycosis como el de Stone et al. 2024).
-
(1) Magister en Dirección y producción de e-Learning, Licenciado en Pedagogía, Diplomado Resonancia Magnética, Universidad Pontificia Católica de Chile, Técnico Universitario en Radiología e Imágenes Diagnósticas, coordinador página web idesxela.com, docente universitario.
(2) Magister en Imágenes Diagnosticas, Magister en educación superior, Coordinador rotación estudiantes de medicina Facultad de Medicina Universidad Mesoamericana, sede Quetzaltenango, área de bio imágenes. Coordinador residencia de radiología Hospital Regional de Occidente, Universidad de San Carlos de Guatemala, Docente Universitario.








