CASOS DE ESTUDIO PARA RADIOLOGOS
DILATACION DE VIAS BILIARES
ANASTOMOSIS ENTERO BILIAR
MSc. Luis Roberto Orozco (1)
Msc. Dr. Eric Eduardo Maldonado Muñoz(2)
PREFACIO
La dilatación de las vías biliares intrahepáticas en el contexto de una anastomosis entero-biliar es, hoy en día, uno de los grandes retos de la radiología abdominal. El cirujano reconstruye la vía biliar buscando un drenaje adecuado; el radiólogo, años después, debe interpretar una anatomía alterada que se mueve en una delgada línea entre los cambios esperados y la complicación silenciosa. Las estenosis tardías de la anastomosis, las fugas biliares, la colangitis recurrente y la atrofia hepática segmentaria o lobar son parte del espectro de complicaciones que, si no se reconocen a tiempo, condicionan un impacto importante en la calidad de vida y la supervivencia del paciente.
En los últimos años, revisiones y reportes de casos han mostrado con claridad cómo la imagen –especialmente la colangiorresonancia magnética (MRCP)– se ha convertido en la herramienta central para entender esta nueva “normalidad” biliar postquirúrgica y distinguirla de la patología. La MRCP permite mapear con precisión la dilatación de los conductos intrahepáticos, valorar la permeabilidad de la anastomosis, identificar segmentos hepáticos atróficos y orientar el abordaje terapéutico, ya sea endoscópico, percutáneo o quirúrgico.
Al mismo tiempo, series dedicadas a las complicaciones de las anastomosis bilioentéricas y revisiones específicas sobre su semiología imagenológica han subrayado la importancia de una lectura sistemática y crítica de cada estudio, integrando el contexto clínico y quirúrgico del paciente.
Con esta edición de la revista IDES, centrada en la dilatación de las vías biliares intrahepáticas y la anastomosis entero-biliar post cirugía, buscamos ofrecer al lector una mirada actualizada y práctica, orientada al trabajo cotidiano del radiólogo. Nuestro propósito es que las imágenes, los casos y las reflexiones aquí reunidos ayuden a diferenciar lo esperado de lo patológico, a detectar de forma temprana las complicaciones y a fortalecer el diálogo entre radiólogos, cirujanos y hepatólogos. En un escenario donde la anatomía es creada por la cirugía, la precisión diagnóstica se convierte en un acto de colaboración y responsabilidad compartida.
PREFACE
Intrahepatic bile duct dilatation in the setting of biliary–enteric anastomosis has become one of the key challenges in contemporary abdominal imaging. The surgeon reconstructs the biliary tree to restore drainage; years later, the radiologist is asked to interpret an altered anatomy that lies on a fine boundary between expected postoperative change and silent complication. Late anastomotic strictures, bile leaks, recurrent cholangitis and segmental or lobar hepatic atrophy form a spectrum of adverse outcomes which, if not promptly recognized, can significantly affect patients’ quality of life and long-term survival.
Recent reviews and case reports have highlighted how imaging—particularly magnetic resonance cholangiopancreatography (MRCP)—has become central to understanding this new postoperative biliary “normal” and distinguishing it from disease. MRCP enables precise mapping of intrahepatic duct dilatation, assessment of anastomotic patency, identification of atrophic liver segments and guidance of therapeutic strategies, whether endoscopic, percutaneous or surgical.
At the same time, dedicated series on complications of biliary–enteric anastomoses and focused discussions on their radiologic semiology emphasize the need for systematic, critical interpretation of each study, firmly grounded in the patient’s surgical and clinical background.
With this issue of IDES, devoted to intrahepatic bile duct dilatation and post-surgical biliary–enteric anastomosis, our aim is to provide an updated, practice-oriented overview tailored to the everyday work of radiologists. We hope that the images, cases and commentaries gathered here will help readers differentiate expected postoperative findings from true pathology, facilitate early detection of complications and strengthen the dialogue between radiologists, surgeons and hepatologists. In a scenario where anatomy is partly “created” by surgery, diagnostic accuracy becomes an exercise in collaboration and shared responsibility.
PALABRAS CLAVE
Dilatación de vías biliares intrahepáticas; Anastomosis entero-biliar; Estenosis anastomótica biliar
KEYWORDS
Intrahepatic bile duct dilatation; Biliary–enteric anastomosis; Biliary anastomotic stricture
HISTORIA DEL PACIENTE
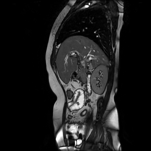
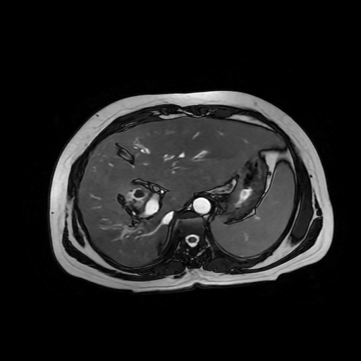
Paciente de sexo femenino, de 56 años de edad, refiere dolor en cuadrante superior derecho, indica que le realizaron colecistectomía de hace mas o menos 7 años, presenta cuadro de ictericia de 6 meses de evolución. Médico tratante le solicita estudio de Resonancia de vías biliares (Coilangioresonancia)
TECNICA EMPLEADA
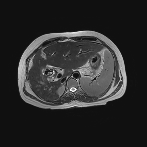
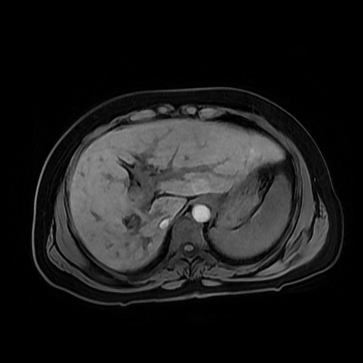
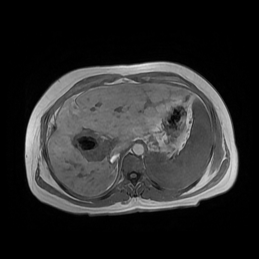
Se prepara a paciente previo a ingreso a zona 4 del área de resonancia magnética, paciente se presenta con catéter en región anterior del antebrazo, se utiliza bobina de abdomen de 16 canales y se procede a obtener localizadores en los tres planos, para luego adquirir imágenes en diferentes planos, en secuencias espin echo, eco de gradiente, secuencia de difusión. Se utiliza medio de contraste hepatoespecifico con dosis sugerida por fabricante.
HALLAZGOS IMAGENOLOGICOS
Se observa dilatación de las vías intra hepáticas a expensas de sus ramas hepáticas derecha, anterior y posterior, hepática izquierda y hepática común. El hepático común da la apariencia de estar anastomosado a un asa de intestino, lo que sugiere la posibilidad de una cirugía entero biliar.
No se logra observar el colédoco.


1. Dilatación de vías biliares intrahepáticas
2. Anastomosis entero biliar
3. Colangitis aguda
La dilatación de las vías biliares intrahepáticas en el contexto postquirúrgico suele ser la expresión anatómica de un desequilibrio entre la producción de bilis y la resistencia al flujo biliar a lo largo del árbol biliar modificado por la cirugía.
Tras una cirugía hepatobiliar (resecciones, derivaciones bilioentéricas, resección de dilatación biliar congénita, etc.), el sistema biliar queda sometido a una nueva configuración anatómica. Cuando existe estenosis de la anastomosis, angulaciones marcadas, cicatrización excesiva o torsión del asa yeyunal, aumenta la resistencia al vaciamiento biliar hacia el intestino.
Esta resistencia se traduce en:
• Incremento de la presión intraductal proximal a la zona de estenosis o dificultad al flujo.
• Dilatación progresiva de los conductos intrahepáticos, inicialmente funcional y potencialmente reversible, que con el tiempo puede volverse estructural por remodelado de la pared ductal.
• Estasis biliar, que favorece la formación de litos intrahepáticos y la colonización bacteriana, cerrando un círculo vicioso de colangitis recurrente, más inflamación y mayor daño ductal.
En fases crónicas, la inflamación persistente de los conductos y del parénquima circundante puede conducir a:
• Fibrosis periductal y del espacio porta.
• Atrofia segmentaria o lobar del parénquima hepático drenado por el sistema biliar más afectado.
• Alteraciones de la microcirculación portal y arterial en los segmentos atróficos.
En algunos pacientes, especialmente aquellos con antecedentes de dilataciones biliares congénitas, pueden coexistir alteraciones intrínsecas de la pared ductal (fragilidad, displasia leve, cambios quísticos) que predisponen a la estasis y la litogénesis incluso con anastomosis aparentemente permeables. Desde el punto de vista clínico, esta fisiopatología se manifiesta por episodios de colangitis, dolor abdominal, elevación de fosfatasa alcalina y GGT, y, en casos avanzados, por hipertensión portal segmentaria o insuficiencia hepática parcial.
Fisiopatología de la anastomosis entero-biliar (hepático-yeyunostomía / coledoco-yeyunostomía)
La anastomosis entero-biliar es una solución quirúrgica para restablecer el drenaje biliar cuando el conducto biliar distal no puede usarse (lesiones iatrogénicas, resecciones oncológicas, dilataciones congénitas, estenosis benignas complejas, etc.). Desde el punto de vista fisiopatológico, esta unión bilioentérica implica varios cambios clave:
1. Desconexión del esfínter de Oddi
Al derivar la bilis directamente a un asa intestinal (generalmente yeyuno), se pierde el control fino del flujo biliar que ejercía el esfínter de Oddi. Esto conlleva:
o Flujo biliar más continuo, menos pulsátil.
o Mayor riesgo de reflujo de contenido intestinal hacia la vía biliar, especialmente si la construcción del asa o la válvula antirreflujo es deficiente.
2. Riesgo de estenosis anastomótica
La anastomosis es una zona de cicatrización activa:
o La respuesta inflamatoria y la fibrosis pueden estrechar progresivamente la luz de la anastomosis.
o Factores técnicos (diámetro pequeño de la anastomosis, tensión, irrigación subóptima) y factores del paciente (colangitis previa, isquemia, enfermedades inflamatorias) aumentan el riesgo de estenosis tardía.
o Esa estenosis se convierte en el principal determinante de la dilatación de las vías biliares intrahepáticas, de la estasis biliar y de la aparición de litos y colangitis.
3. Colonización bacteriana crónica y colangitis
La comunicación permanente bilis–intestino facilita la colonización ascendente de la vía biliar por flora intestinal:
o En condiciones normales, la bilis tiene mecanismos antimicrobianos, pero la estasis y la presencia de material extraño (litos, suturas, stents previos) favorecen la colonización y la formación de biopelículas.
o Esta colonización sustenta episodios de colangitis recurrente, con edema de la mucosa, mayor estrechamiento del lumen y daño progresivo del epitelio biliar.
4. Impacto en el parénquima hepático
La combinación de estenosis, estasis y colangitis repetida lleva a:
o Colangitis crónica con fibrosis periductal.
o Atrofia–hipertrofia compensatoria: segmentos mal drenados tienden a atrofiarse, mientras otros segmentos con mejor drenaje pueden hipertrofiarse.
o En casos avanzados, puede aparecer colangitis esclerosante secundaria y, eventualmente, progresión a cirrosis biliar secundaria.
5. Relación imagen–fisiopatología
En la práctica radiológica, esta fisiopatología se traduce en hallazgos como:
o Dilatación segmentaria o difusa de los conductos intrahepáticos proximal a la anastomosis.
o Estrechamiento focal o filiforme en el sitio de la unión bilioentérica.
o Áreas de atrofia hepática con reducción de volumen y remodelado vascular.
o Defectos de llenado compatibles con litos intrahepáticos.
o Signos indirectos de colangitis (engrosamiento de paredes ductales, realce periductal, cambios inflamatorios del parénquima).
- 1. • Law, W., Swensson, J., Mayhew, M., et al.Imaging and management of complications post biliary-enteric anastomosis. 2025. Abdominal Radiology, 50(7), 3036–3048. Revisión muy completa sobre complicaciones post anastomosis entero-biliar (fugas, estenosis, colangitis) y su correlación imagenológica, incluyendo la dilatación de la vía biliar intrahepática.
- 2. • • Takimoto, A., Urushihara, N., Fukumoto, K., et al.Current treatment strategies for postoperative intrahepatic bile duct stones in congenital biliary dilatation: a single center retrospective study. 2022. BMC Pediatrics, 22, 367. Estudio sobre litiasis en conductos biliares intrahepáticos tras resección de dilatación biliar congénita con anastomosis bilioentérica; describe cómo la estenosis anastomótica y la dilatación residual de los conductos intrahepáticos favorecen la estasis biliar y la formación de cálculos.
-
3. • Liang, S. Y., et al. Imaging misdiagnosis and clinical analysis of significant hepatic atrophy after bilioenteric anastomosis: A case report. 2023. World Journal of Clinical Cases, 11(29), 7234–7244.
Caso clínico de estenosis significativa de anastomosis bilioentérica con atrofia hepática compleja; en la MRCP se muestra dilatación de conductos biliares intrahepáticos en el contexto de estenosis tardía de la anastomosis.
4. • Griffin, N., Charles-Edwards, G., and Grant, L. A. Magnetic resonance cholangiopancreatography: the ABC of MRCP.
2012.Insights into Imaging, 3, 11–21.
Revisión didáctica sobre MRCP; incluye un apartado específico de anatomía biliar postquirúrgica y complicaciones, donde se describe el papel de la MRCP para valorar anastomosis bilioentéricas, estenosis y dilatación de la vía biliar intrahepática.
5. • Kadaba, R. S., Bowers, K. A., Khorsandi, S., et al. Complications of biliary-enteric anastomoses. 2017.Annals of the Royal College of Surgeons of England, 99(3), 210–215. Serie clásica sobre complicaciones de anastomosis bilioentéricas (hepático-yeyunostomía, coledoco-yeyunostomía), incluyendo estenosis tardía, colangitis y cambios en las vías biliares intrahepáticas asociados a la anastomosis.
-
(1) Magister en Dirección y producción de e-Learning, Licenciado en Pedagogía, Diplomado Resonancia Magnética, Universidad Pontificia Católica de Chile, Técnico Universitario en Radiología e Imágenes Diagnósticas, coordinador página web idesxela.com, docente universitario.
(2) Magister en Imágenes Diagnosticas, Magister en educación superior, Coordinador rotación estudiantes de medicina Facultad de Medicina Universidad Mesoamericana, sede Quetzaltenango, área de bio imágenes. Coordinador residencia de radiología Hospital Regional de Occidente, Universidad de San Carlos de Guatemala, Docente Universitario.








